竹村耳鼻咽喉科クリニック

お問い合わせ・ご相談はお気軽にどうぞ
Tel.072-637-4133
トップページ > 診療内容 > 喉の病気

診療内容Menu / Price

急性咽喉頭炎

咽頭に炎症が生じた状態です。風邪、インフルエンザなどによるウイルス・細菌感染、刺激ガスや粉塵の吸入、喫煙、声の酷使などによる粘膜の炎症が原因となります。

※いずれかの症状が感じられた場合、悩まないでご相談ください。

ページトップへ戻る

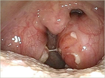
扁桃周囲膿瘍

急性扁桃炎に続いて起こり、口蓋扁桃(こうがいへんとう)の周囲に炎症が及んで扁桃周囲炎が発症します。さらに菌が膿のかたまりをつくると、扁桃周囲膿瘍と呼ばれる状態になります。若い成人男性に多くみられます。 扁桃炎の段階で、悪化を防がなければならず、初期の対応の遅れが重症化を引き起こします。

※いずれかの症状が感じられた場合、悩まないでご相談ください。

ページトップへ戻る

急性喉頭蓋炎

のどの奥にある喉頭蓋(こうとうがい)という部分に炎症が起きた状態です。喉頭蓋が急激に腫れるため、ひどい場合には窒息に至る危険性があり、耳鼻咽喉科の救急疾患の一つです。通常は細菌感染が原因で、そのほとんどはインフルエンザ菌(インフルエンザウイルスとは異なります)です。

※いずれかの症状が感じられた場合、悩まないでご相談ください。

ページトップへ戻る

口内炎

口内炎は、口の中やその周辺の粘膜に起こる炎症の総称です。 ビタミン不足、疲労やストレス、口の内側を噛むなど、様々な原因で起こり、口の中の粘膜であれば頬の内側や唇の内側、歯ぐき、舌など、どの部分にもできます。全身疾患の一つの症状として起こるケースもありますので、口の中のどこにできているか、多発していないか、繰り返していないか、治りにくくはないか、などを総合的に判断する必要があります。稀に、口内炎だと自己判断され、実は舌がんだったというケースもあり、1ヶ月も続く口内炎は、必ず耳鼻咽喉科を受診してください。

※いずれかの症状が感じられた場合、悩まないでご相談ください。

ページトップへ戻る

味覚障害

味がまるでわからなくなったり、味覚が鈍磨したり、本来の味とは違った妙な味に感じられたりする障害です。口が苦い、塩辛いなどと訴える自発性の異常味覚もあります。 高血圧薬、抗生物質ほか、各種薬剤の長期にわたる使用によって生じる薬剤性の味覚障害がよくみられます。

※いずれかの症状が感じられた場合、悩まないでご相談ください。

ページトップへ戻る

耳下腺炎・顎下腺炎

唾液をつくる耳下腺(耳の前から下にある)、および顎下腺(顎の下にある)に炎症が生じた状態で、いろいろな原因で起こります。主な原因はウイルスや細菌の感染です。ウイルス性の代表的なものとしては、流行性耳下腺炎、いわゆる「おたふく風邪」があります。唾液腺炎を発症すると、抗菌作用、粘膜保護作用、消化作用など、唾液のもつ機能が低下します。

※いずれかの症状が感じられた場合、悩まないでご相談ください。

ページトップへ戻る

頸部リンパ節炎

リンパ管は全身に張り巡らされていますが、その節々には豆のような形をしたリンパ節があり、細菌感染などから体を守っています。 くび(頸部)にもたくさんのリンパ節があり、口や咽喉からの細菌などの侵入に備えています。このリンパ節が炎症を起こして腫れた場合を、頸部リンパ節炎と言います。 多くは口や咽喉の細菌感染による炎症ですが、ウイルス感染や結核などによる場合もあります。

※いずれかの症状が感じられた場合、悩まないでご相談ください。

ページトップへ戻る

扁桃肥大

のどは細菌やウイルスによる感染を起こしやすいため、その粘膜下には、リンパ組織(リンパ球と抗体の産生を行う組織)が発達しています。このリンパ小節の集まりを扁桃と言い、口蓋垂(のどちんこ)の両側に見えるアーモンドの形をした部分を口蓋扁桃と呼びます。この口蓋扁桃が通常よりも大きくなった状態が、扁桃肥大です。扁桃肥大を招く主な原因は、細菌とウイルスの感染です。時に、生理的に大きくなっているケースもあります。

※いずれかの症状が感じられた場合、悩まないでご相談ください。

ページトップへ戻る

扁桃炎

扁桃炎とは口蓋垂(のどちんこ)の左右に一個ずつある口蓋扁桃というリンパ組織に、細菌やウイルスによる急性の炎症が起こる疾患です。健康な人でも、扁桃にはもともと、いろいろな細菌が潜んでいます。風邪ウイルスの感染や疲労がきっかけとなり、いつもはおとなしい細菌が悪さをして急性扁桃炎を発症します。時に、溶血性連鎖球菌に感染することで急性扁桃炎や急性咽頭炎などを起こすことがあり(溶連菌感染症)、子どもに多く見られます。この場合は、リウマチ熱や急性糸球体腎炎、アレルギー性紫斑病などの怖い合併症を引き起こすことがあり、要注意です。

※いずれかの症状が感じられた場合、悩まないでご相談ください。

ページトップへ戻る
Copyright(C) 竹村耳鼻咽喉科クリニック All Rights Reserved.